
Las fracturas de la extremidad distal del radio (FEDR) y especialmente la de Pouteau-Colles son muy frecuentes (10% del total de fracturas), continúan siendo un desafío. Con el tiempo y no tratadas adecuadamente tienen una gran repercusión funcional sobre la muñeca, dejando importantes secuelas funcionales.
Son un grupo de fracturas que están a menos de 3 cm de la articulación radiocarpiana.


Se clasifican en:
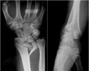
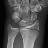
1.- Fractura de Pouteau-Colles: según este, es la lesión más común de la extremidad distal del radio. Es la fractura de la epífisis distal del radio, con desplazamiento hacia dorsal y radial. Es la más común de todas las fracturas, se observa fundamentalmente en la mujer anciana o de mediana edad, siendo la osteoporosis un factor contribuyente.
Se producen por caídas sobre el talón de la mano por delante en pronación o por detrás en supinación y en inclinación radial o cubital, , mecanismo común en muchas fracturas del miembro superior. En función de esto la fractura se localizará en cara externa o interna.
En estas caídas siempre existe un componente de flexión o de extensión, de la muñeca y del codo, pero si el antebrazo está en extensión pura, la caída provocará una fractura por un aumento de las fuerzas de compresión.
El contorno alterado de la muñeca en una fractura de Colles gravemente desplazada es evidente y se designa con “deformidad en dorso de tenedor”.


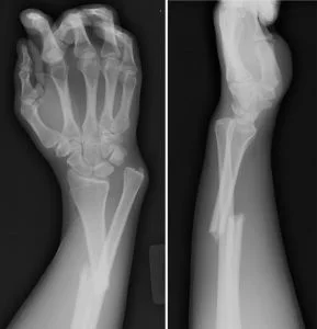
2.- Fractura de Goyland-Smith: Es una fractura de la extremidad distal del radio, con desplazamiento del fragmento distal, palmar o volarmente. La fractura se provoca por caída con la muñeca en flexión, es decir, es el dorso de la mano la que choca contra el suelo. Se llama también fractura de Colles invertida.

3.- Fractura parcelarias: Cuando la fractura no atraviesa por completo toda la sección transversal del radio.
Dentro de estas tenemos:
Fractura de Rhea-Barton: es una fractura-luxación en la cual se desprende el borde dorsal o posterior de la extremidad distal del radio acompañando al carpo y a la mano. Cuando es volar se denomina Rhea-Barton invertida o Smith II.

Fractura de Hutchinson: Es una fractura aislada de la apófisis estiloides del radio.

4.- Fractura de Galeazzi: Asocia una fractura distal del radio con una luxación de articulación radio-cubital distal. El mecanismo normalmente es por un traumatismo directo sobre la zona dorsal y externa, o un mecanismo indirecto por caída sobre la mano.

5.- Fractura de Gerard-Marchand: Es la asociación de la fractura de radio con la apófisis estilodes cubital.
Si combinamos varios de éstos mecanismos las fracturas aumentan en su gravedad y su complejidad, siempre en consonancia de la energía del impacto.
Clínica
Son característicos el dolor, tumefacción y edema. Además se produce una deformación en dorso de tenedor en la fractura de Colles y en la fractura Goyland-Smith una deformidad en pala de jardinero.

Tratamiento
Son múltiples las opiniones sobre la posición del antebrazo y la muñeca a la hora de inmovilizar una fractura de Colles, pero ninguno de los métodos terapéuticos de uso corriente evitan por completo el acortamiento de radio ni la pérdida de su inclinación volar y radial.
El tratamiento dependerá de la gravedad de la fractura. Una fractura NO desplazada se puede tratar con una escayola o con una ortesis. En otras fracturas el tratamiento va a ser quirúrgico mediante reducción de la fractura y fijación con una placa y fijación de la articulación radio-cubital distal con unas agujas.
La férula volar del antebrazo es la mejor para la inmovilización temporal de las fracturas del antebrazo, la muñeca y la mano, incluyendo, por tanto, la de Colles.
Periodo de inmovilización
Es fundamental la colaboración activa del paciente para su recuperación.
El desarrollo de una actividad física es un factor de prevención muy importante.
Durante el periodo de inmovilización, el miembro superior debe retirarse del cabestrillo varias veces al día con el fin de movilizar el codo y el hombro. Los dedos deben ejercitarse en flexión y en extensión.
Una movilización precoz evitará las rigideces y algodistrofias. Deben evitarse las posiciones en declive y favorecer el retorno venoso.
Una vez retirada la inmovilización, la rehabilitación va encaminada a la recuperación funcional y de la movilidad articular, la reabsorción del edema y disminución del dolor; mediante movilizaciones, masaje de drenaje.
También se emplean TENS (analgesia y electroestimulación que van a potenciar la musculatura proporcionando mayor estabilidad en las articulaciones adyacentes), los baños de parafina y fuentes de calor (IR). .
Complicaciones
– Síndrome del túnel carpiano: responde bien al tratamiento conservador.
– Artritis postraumática: con signos inflamatorios y dolores que se calman con termoterapia, fisioterapia y el reposo de la articulación.
– Algodistrófia.
– Callo vicioso: por mala reducción o desplazamiento secundario.
– Bloqueo de la prono-supinación.
– Ruptura del extensor largo del pulgar.
