Constituye la inestabilidad más frecuente del carpo (muñeca) y abarca una amplio espectro de lesiones que van desde la lesión parcial del ligamento escafolunar hasta la lesión completa del mismo asociada a una lesión de los estabilizadores secundarios. La muñeca pierde la capacidad de realizar un movimiento o una transmisión de cargas sin perder la correcta alineación de los huesos del carpo.

Se produce tras la caída sobre una superficie dura y con la mano en hiperextensión.
Se sabe que no es una patología única sino que engloba un espectro amplio de lesiones, que van desde una lesión parcial del ligamento escafolunar (LEL), pasando por una lesión completa del LEL, a una lesión completa del LEL asociada a una lesión de los estabilizadores secundarios.
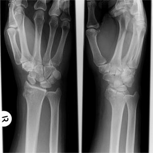
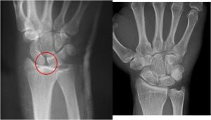
La pérdida de relación entre el escafoides y el semilunar, debida a la rotura de los ligamentos escafolunares, produce un tipo de inestabilidad parecido al de las pseudoartrosis de escafoides, excepto que en este caso es todo el escafoides el que sufre una anormal flexión palmar con subluxación dorsal de su polo proximal. El semilunar, no siendo ya controlado lateralmente por el escafoides, sigue al piramidal hacia una anormal extensión (DISI), a la vez que experimenta un característico desplazamiento en forma de supinación y traslación cubital. Dicho desplazamiento provoca una diástasis, de más de 3 mm del espacio escafolunar (Signo de Terry Thomas), con la consiguiente incongruencia articular radiocarpiana y mediocarpiana.


La lesión se clasifica en 3 grupos: lesión parcial, lesión completa y lesión completa asociada a lesión de estabilizadores secundarios y se han denominado clásicamente inestabilidad escafolunar predinámica, dinámica y estática, respectivamente, en función de los hallazgos que se observaban en el estudio radiográfico.

En radiografía simple de una lesión completa del LEL no se observa ninguna alteración; sin embargo, en una radiografía dinámica aparecen los signos característicos de la inestabilidad, por lo que le denomina inestabilidad dinámica.
En una lesión parcial no se encuentra ninguna alteración radiológica (ni en la radiografía simple ni en la dinámica), por eso se le denomina predinámica.
Por último, en una lesión del LEL asociada de los estabilizadores secundarios aparece la mala alineación carpiana en la radiografía simple, por eso se denomina estática.
Sin embargo, hoy en día sabemos que realmente esta división en tres grupos no es perfecta, ya que lesiones completas del LEL pueden cursar con radiografías totalmente normales.
Diagnóstico clínico
El principal síntoma es el dolor esporádico, que se acentúa al realizar determinados movimientos, ejecutar ciertas presas, o en tareas repetitivas, y que calma con el reposo.
A menudo pérdida de fuerza y sensación de inestabilidad, acompañada de crepitaciones o chasquidos articulares. Puede existir pérdida de movilidad, parestesias nocturnas o hinchazón recurrente de la muñeca.
Se produce una limitación en la extensión. La muñeca aparece deformada con una prominencia en “dorso de tenedor” situada en posición más distal que el la fractura de Colles.
Mediante una palpación de la muñeca en reposo y en movimiento, hay que buscar puntos dolorosos selectivos, localizar chasquidos, prominencias óseas, etc….
Un dolor selectivo en la tabaquera anatómica debe hacernos pensar en una fractura del escafoides, pero también en una disociación escafolunar. En cambio, ante un dolor en la mitad interna del dorso de la muñeca, justo por debajo de la cabeza del cubito, debemos sospechar, entre otras patologías, una disociación piramidolunar, una lesión del fibrocartílago triangular, un síndrome de impactación cubito-carpiano, o una fractura de la cresta dorsal del piramidal.
A veces son útiles maniobras que reproducen o acentúan movimientos anómalos típicos de según qué tipos de inestabilidad. Las más conocidas son:
Maniobra de Watson: Esta prueba se realiza para determinar si el ligamento escafolunar está íntegro.
Con el pulgar en la tuberosidad del escafoides y el índice en el polo proximal del escafoides, se realiza un movimiento desde inclinación cubital a inclinación radial. Si el ligamento escafolunar está íntegro, la tuberosidad del escafoides empuja el pulgar, y no hay resalte. Si el ligamento está roto, con la inclinación radial el escafoides se subluxa dorsal, que puede percibirse con el índice, e incluso a veces con un chasquido audible.

Maniobra de Kleinman: Este test aplica una fuerza de palmar a dorsal en el ligamento lunopiramidal, con una mano. Para realizar el test se utiliza la mano contraria a la que se está explorando. Se comprime el complejo lunopiramidal realizando una pinza digital, en la que el índice comprime hacia palmar el semilunar, mientras el pulgar ejerce una fuerza en dirección dorsal sobre el pisiforme. Este test es positivo cuando hay una rotura o lesión del ligamento escafolunar

Maniobra de Reagan: Se comprime el pisiforme y el piramidal con el pulgar e índice de una mano, y el resto del carpo con la otra mano. Esto permite una valoración de la estabilidad del ligamento lunopiramidal. Realizar el test de forma comparativa con la otra mano del paciente. Una movilidad excesiva implica una inestabilidad entre el piramidal y semilunar y entre el piramidal y el ganchoso, a menudo acompañado de chasquidos y dolor típicos de esta lesión.

Diagnóstico radiológico
La técnica de referencia para el diagnóstico de esta lesión es sin duda la artroscopia de muñeca, ya que las pruebas radiológicas presentan un elevado porcentaje de falsos negativos.
Los estudios incluyen una vista lateral estricta y vista anteroposterior con la muñeca en posición neutra, desviación radial y cubital. Además deben tomarse radiografías de la muñeca contralateral (comparación entre ambas). Se realiza medición en vista lateral, del ángulo escafolunar (trazar líneas a lo largo de los ejes del escafoides y semilunar). Se considera normal entre los 30º y 60º.
Tratamiento
Inicialmente y en función del grado de inestabilidad escafolunar:
- Hielo cada 10´y varias veces al día.
- Inmovilización de la zona
- Elevar el brazo para evitar edema
- Baños de contraste frío-calor
- Movilización activa y pasiva de la muñeca
- Propicepción
- Potenciación muscular
- Vendaje neurotape.
Cuando la inestabilidad carpiana es debida a una alteración de la arquitectura ósea hay que corregir el defecto óseo mediante osteotomias, injertos óseos en cuña, y osteosíntesis.
En inestabilidades agudas secundarias a rotura de ligamentos deberá intentarse la reparación de dichas estructuras mediante plastias capsulares que aseguren una mejor contención de los elementos óseos afectados.
Cuando la lesión lleva semanas de evolución, todo intento de reducción suele fracasar. En este estadio se realizan ligamento plastias con tendón autólogo o material sintético que reemplacen los ligamentos ausentes, o bien se practican artrodesis parciales de los segmentos inestables.
Las inestabilidades de muñeca que por su cronicidad han desarrollado una severa degeneración articular tanto radiocarpiana como mediocarpiana precisan un tratamiento más radical.
