Inicio2019-11-22T19:38:19+02:00

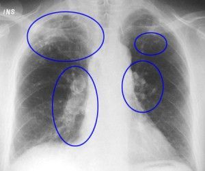
«La Fibrosis Pulmonar Idiopática provoca la muerte más precozmente que muchos tipos de cáncer, entre ellos el de mama, de ovario y colorrectal»

Por |julio 17th, 2012|Categorías: Enfermedades, Noticias farmacéuticas, Problemas de salud|

Próximamente, indica el Prof. Julio Ancochea, Jefe del […]
Comentarios desactivados en «La Fibrosis Pulmonar Idiopática provoca la muerte más precozmente que muchos tipos de cáncer, entre ellos el de mama, de ovario y colorrectal»
Ir a Arriba